בין מרצים לרפואה, רווח הנוהג של ציווי הגופה למדע. תורמים איברים להשתלה, כמובן (חתמו בבקשה על אדי!), אבל גם למחקר והוראה. אחרי הכל, אם המקצוע והפרנסה שלך באו ממחקר גופות, אז למה לתת את זו שלך רק לתולעים? מקובל גם שהפרופסורים של הפקולטה לרפואה בהר הצופים תורמים את גופתם לפקולטה של בן-גוריון, ואלה של בן-גוריון לטכניון וכו', כנראה למנוע מצב שאיזה סטודנט יגיד בוא'נה זה המניאק שדפק אותי בציון לגניקולוגיה שנה שעברה אז בואו נעשה ממנו שווארמה.
אני לא רופא, אבל אם לפעמים אני מלמד על המוח ראוי שאתרום גם אני משהו למדע. אז למה לחכות ולא לתרום מגופי כבר עכשיו כשאני עדיין יכול לדבר אתכם? בשביל זה המציאו את ההדמיות, כמו ה-MRI. אז בואו נתחיל בשיעור.
דרך טובה להבין את המוח מנקודת הראות האבולוציונית היא לחשוב על עיר עתיקה כמו ירושלים. איפה שלא תחפרו יבואו ארכיאולוגים או חרדים ויצעקו שיש כאן מבנים היסטוריים או קברים עתיקים. כמה עתיקים? מלבד מבנים מקודשים עד היום כמו הר הבית, הכלל הוא די פשוט: יותר עמוק – יותר קדום. בשכבה העליונה הגלויה נראה בעיקר מבנים ישראליים, מנדטוריים או עותמניים, יותר למטה צלבנים, מתחתם רומאים, יוונים ושוב יהודים, בית שני, בית ראשון, עד עיר היבוסי, ואפילו למטה מזה.
כך קרה גם למוחנו במרוצת מאות מיליוני שנות אבולוציה. יצאנו מהמים, זחלנו על היבשה, עלינו על העצים ושבנו וירדנו מהם. התפתחנו מתולעי-מים עם מעט גנגליונים לבעלי-מיתר עם התחלה של מערכת עצבים מרכזית, ואז לבעלי-חוליות בצורת דגים, דרך דו-חיים, זוחלים ויונקים, ועד לקופים ולהומינידים. בכל השלבים האלה לא החלפנו מוח ישן במוח חדש שיתאים יותר לצרכינו החדשים, אלא שדרגנו את הקודם, ע"י הוספת שכבות מוח זו על זו.
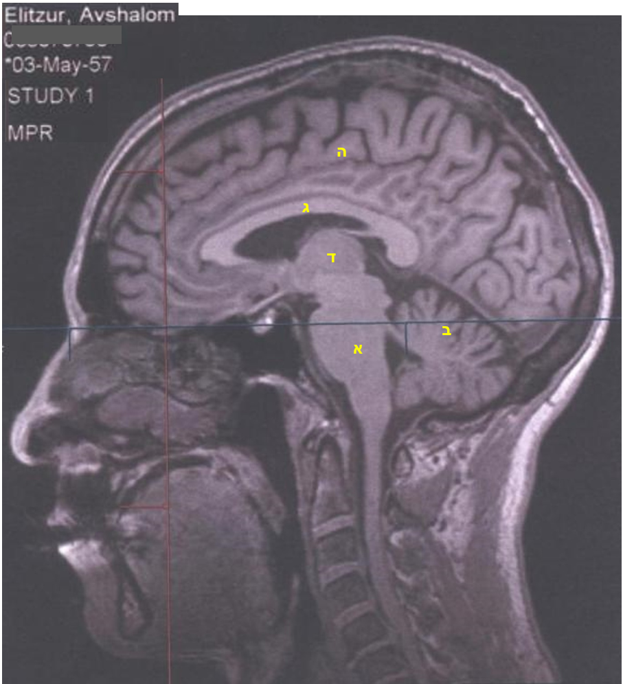
אז כאן בתמונה אתם יכולים לראות (מלבד סתימות שורש, שינויים בע"ש צווארי ושאר סימני גיל) את השכבות האבולוציוניות האלה. בואו נתחיל.
במרכז התמונה (א) גזע המוח שלי, יורד כלפי מטה ונמשך כחוט השדרה. זה החלק העתיק ביותר האחראי לפעולות הווגטטיביות של הגוף, כמו מחזור הדם, הנשימה והעיכול. בעורף, מימין לגזע המוח (ב), נראה הצֵרֵבֶּלוּם (מוחון). זהו מעין "מוח שני" לצד הצֵרֶבְּרוּם (המוח הגדול, מעליו בכל הגולגולת), והוא אחראי לקואורדינציה ולדיוק פעולות שכבר נלמדו ע"י המוח הגדול. מעל לגזע המוח נמצאת מערכת איברים הקרויה בשם הלא מדויק המערכת הלימבּית (גובלתית) ובה ההיפוקמפוסים, זוג איברים דמויי שופר האחראים על תחילת מנגנון הלמידה. בקצותיהם יושבים שני גרעיני האמיגדלה, האחראיים למגוון תפקודים מעניינים מאוד, מאגירת זיכרונות טראומטיים, זיהוי פרצופים, ועד לשלישיית ה-FFF המפורסמת: פחד, לחימה בריחה, שעליהם צריך להוסיף עוד F למילה גסה, כי זה גם מה שקורה בהתעוררות המינית. אלה כמובן חוויות שונות מאוד, אבל בכולן פועל אותו מנגנון הכנסת הגוף למצב פעולה חזק, מה שיוצא לפעמים משליטתנו במקרים של התפרצות זעם, פאניקה, או ההיפך, היסחפות לאקט מיני אסור. לא ייאמן, אבל כולם נתונים לשליטת הגרעין הקטן ורב-העוצמה הזה, האמיגדלה.
ההיפוקמפוס והאמיגדלה לא נראים בהדמיה הזאת שלי כי החתך הזה הוא בדיוק באמצע – אז ראו אותם משני הצדדים בציור הצבעוני למטה.
ה-MRI הזה מראה חתך רוחב אמצעי, ובו ניכר (ג) הגרעין הזנבי, המבנה הבהיר דמוי הקשת מעל לגזע המוח. הוא אחראי לממסר בין קליפת המוח למערכת התנועה, ומצד שני לעיכוב ומניעת פעולות, וכן למערכת הגמול. מתחתיו חתך רוחב של התַלַמוּס (ד), שהוא מעין מרכזייה המעבירה את הקלט החושי מהעיניים והאוזניים אל אזורי הראייה והשמיעה.
השכבה שמעליהם (ה), מרובת הפיתולים, היא קליפת המוח וכפי שאתם רואים היא המפותחת ביותר בפרימאטים ובעיקר באדם ומהווה את מרבית המוח הגדול. כאן מתבצעים עיבוד המידע המגיע ממרכזי הראייה, השמיעה וההרחה, כאן מתבצעים החשיבה והדיבור וקבלת ההחלטות. בחתך הרוחב הצידי הזה ניתן לראות את האונות האמצעיות של קליפת המוח: העורפית, הקודקודית והמצחית, ולכל אחת תפקיד מכריע משלה.

ללא ספק המערכת הגובלתית היא המרתקת ביותר להבנת התנהגותו הרגשית של האדם ובעיקר להבנת התוקפנות, הסקס, האלימות ומגוון מיני טירוף המציפים כיום את האנושות. מצורף אם כן גם ציור צבעוני של המוח ממבט קדמי ובו ההיפוקמפוס והאמיגדלה משני צדי חתך הרוחב.

לא מכבר יצא לי להיות הזקנה במסדרון. לא אשפוז אבל כן חדרי מיון ומרפאות. לאחרונה אני סובל מסחרחורות ממקור לא ברור. עשיתי CT ו-MRI. נראה שבינתיים נשללו האפשרויות החמורות. אז התפניתי להביא לכם עוד שיעור של מומחה דגול וחבר יקר, ד"ר חנוך אלרן, בעבר ראש המחלקה לנוירוכירורגיה בבית החולים איכילוב, הוא ממחיש על הדמיית המוח שלי את המסלול האופטי. הכיאזמה (תצלובת הראייה) היא הצומת שבה הקלט החושי מכל עין מתפצל לשניים בדרכו לשני מרכזי הראייה בהמיספרה הימנית והשמאלית. זה הפיצול שבזכותו קיבל רוג'ר ספרי את הנובל על גילוי העיבוד המקבילי של המידע הראייתי והשמיעתי בשתי ההמיספרות.

לשתי ההדמיות שעברתי, CT ו-MRI, נפח גדול מאוד. אודה למי שיוכל לייעץ איך ואיפה אפשר לשים אותן בשלמותן ברשת אחרי מחיקת מספר תעודת הזהות.
מאמרים נוספים שלי על המוח:
האם עמוד השדרה שלנו הוא גלגולו של מרבה-רגליים?
Neuropsychoanalysis - an introductory lecture


